자궁암 초기 증상 – 조기 발견이 중요한 이유
- 건강 정보
- 2025. 3. 21. 05:21
자궁암 초기 증상 – 조기 발견이 중요한 이유
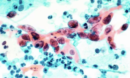
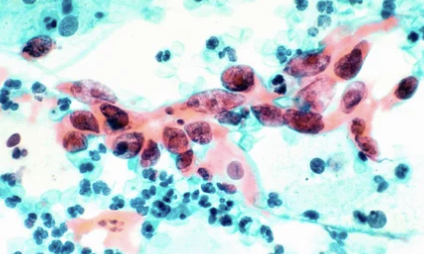
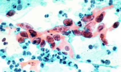
자궁암은 초기에 발견하면 완치율이 높지만, 증상이 미미해서 자각하기 어려운 경우가 많다. 특히 자궁경부암과 자궁내막암(자궁체부암)은 증상이 다를 수 있으므로, 조기 신호를 알아두고 정기 검진을 받는 것이 중요하다.
① 자궁암 종류별 차이 – 자궁경부암 vs. 자궁내막암



자궁암은 크게 두 가지로 나뉜다.
✔️ 자궁경부암
- 자궁의 입구(경부)에 발생하는 암
- HPV(인유두종 바이러스) 감염이 주요 원인
- 성관계를 통해 감염되며, 예방 백신이 있음
✔️ 자궁내막암(자궁체부암)
- 자궁 안쪽(내막)에 생기는 암
- 호르몬 변화와 유전적 요인이 크며, 폐경 후 여성에게 많이 발생
📌 자궁경부암은 바이러스 감염이 주요 원인, 자궁내막암은 호르몬 변화와 관련이 깊다.
② 자궁암 초기 증상 – 알아두어야 할 신호



✔️ 1) 비정상적인 출혈
- 폐경 전: 생리 주기와 관계없이 갑자기 출혈이 생김
- 폐경 후: 갑자기 질 출혈이 나타나는 경우(정상적인 폐경 후에는 출혈이 없어야 함)
- 성관계 후 출혈이 반복적으로 발생
✔️ 2) 질 분비물 이상
- 평소보다 냄새가 심한 분비물이 나옴
- 노란색, 갈색, 피가 섞인 분비물이 나옴
✔️ 3) 골반 통증 및 허리 통증
- 생리통과 다르게 골반이나 허리에 둔한 통증이 지속됨
- 이유 없이 허리나 복부에 불편함이 느껴짐
✔️ 4) 배뇨 및 배변 문제
- 소변을 볼 때 통증이 있거나, 자주 마려운 느낌
- 변비가 지속되거나, 대변을 볼 때 불편함이 있음
✔️ 5) 피로감과 체중 감소
- 특별한 이유 없이 체중이 감소함
- 만성 피로와 무기력증이 심해짐
📌 초기에는 증상이 거의 없거나 미미할 수 있으므로, 작은 변화라도 주의 깊게 살펴야 한다.
③ 자궁암 위험 요소 – 이런 경우 정기검진 필수



자궁암은 특정 위험 요소가 있는 경우 발병 가능성이 높아진다.
✔️ 자궁경부암 위험 요인
- HPV(인유두종 바이러스) 감염
- 성 경험이 이른 연령에 시작됨
- 다수의 성 파트너
- 흡연(HPV 바이러스의 활동성을 높임)
- 면역력 저하(에이즈, 면역억제 치료 등)
✔️ 자궁내막암(자궁체부암) 위험 요인
- 폐경 이후 여성 (50대 이상)
- 비만(지방세포에서 여성호르몬이 생성되어 암 위험 증가)
- 에스트로겐 호르몬 과다 (경구 피임약 장기 복용, 호르몬 치료)
- 가족력이 있는 경우(어머니, 자매가 자궁암 경험)
- 당뇨병, 고혈압 환자
📌 위험 요인이 있다면 정기 검진을 통해 미리 체크하는 것이 중요하다.
④ 자궁암 조기 진단 – 언제 검사를 받아야 할까?



✔️ 자궁경부암 검진
- 만 20세 이상 여성: 2년마다 자궁경부 세포 검사(Pap 검사)
- HPV 백신 접종 후에도 정기 검진 필요
- 이상 소견이 있으면 HPV 검사와 조직검사 진행
✔️ 자궁내막암(자궁체부암) 검진
- 폐경 후 출혈이 있는 경우 즉시 검사
- 초음파 검사 + 자궁내막 조직검사 시행
- 비만, 유전적 요인이 있는 경우 1~2년마다 검진 추천
📌 조기 발견이 중요하므로, 정기적으로 자궁암 검진을 받는 것이 필수다.
⑤ 자궁암 예방 방법 – 생활 습관으로 줄일 수 있을까?



✔️ HPV 예방 접종 받기
- 자궁경부암의 주요 원인인 HPV 바이러스 예방 백신 접종
- 9~26세 여성에게 강력 추천 (남성도 접종 가능)
✔️ 금연하기
- 흡연은 자궁경부암 발생 위험을 2배 이상 높임
✔️ 건강한 체중 유지
- 비만은 자궁내막암(자궁체부암) 발생 확률을 높이므로 적절한 체중 관리 필요
✔️ 균형 잡힌 식습관
- 채소, 과일, 섬유질 섭취 증가
- 고지방, 고탄수화물 음식 줄이기
✔️ 정기적인 산부인과 검진 받기
- 증상이 없어도 1~2년마다 자궁암 검진 필수
📌 예방이 가장 중요하며, 정기적인 검진과 건강한 생활습관을 유지하는 것이 핵심이다.
⑥ 자궁암 치료 방법 – 발견 시 어떻게 치료할까?



자궁암은 발견 시기에 따라 치료법이 다르다.
✔️ 초기(1기 이하)
- 자궁경부암: 원추 절제술(암세포만 제거) 또는 자궁적출술
- 자궁내막암: 내막 소파술(자궁내막만 제거)
✔️ 중기(2~3기)
- 자궁적출술 + 방사선 치료
- 림프절 전이가 있으면 추가 치료 필요
✔️ 말기(4기)
- 항암치료, 방사선 치료 병행
- 암이 전이된 경우 생존율이 낮아질 수 있음
📌 초기에 발견하면 간단한 치료로도 완치율이 높지만, 늦어지면 치료가 어려워진다.
⑦ 자궁암 예방을 위한 체크리스트
✅ 비정상적인 질 출혈이 있다면 병원 방문하기
✅ 20세 이상 여성은 2년마다 자궁경부암 검진 받기
✅ HPV 백신 접종하기
✅ 금연하고 건강한 식습관 유지하기
✅ 폐경 후 출혈이 생기면 즉시 검사받기